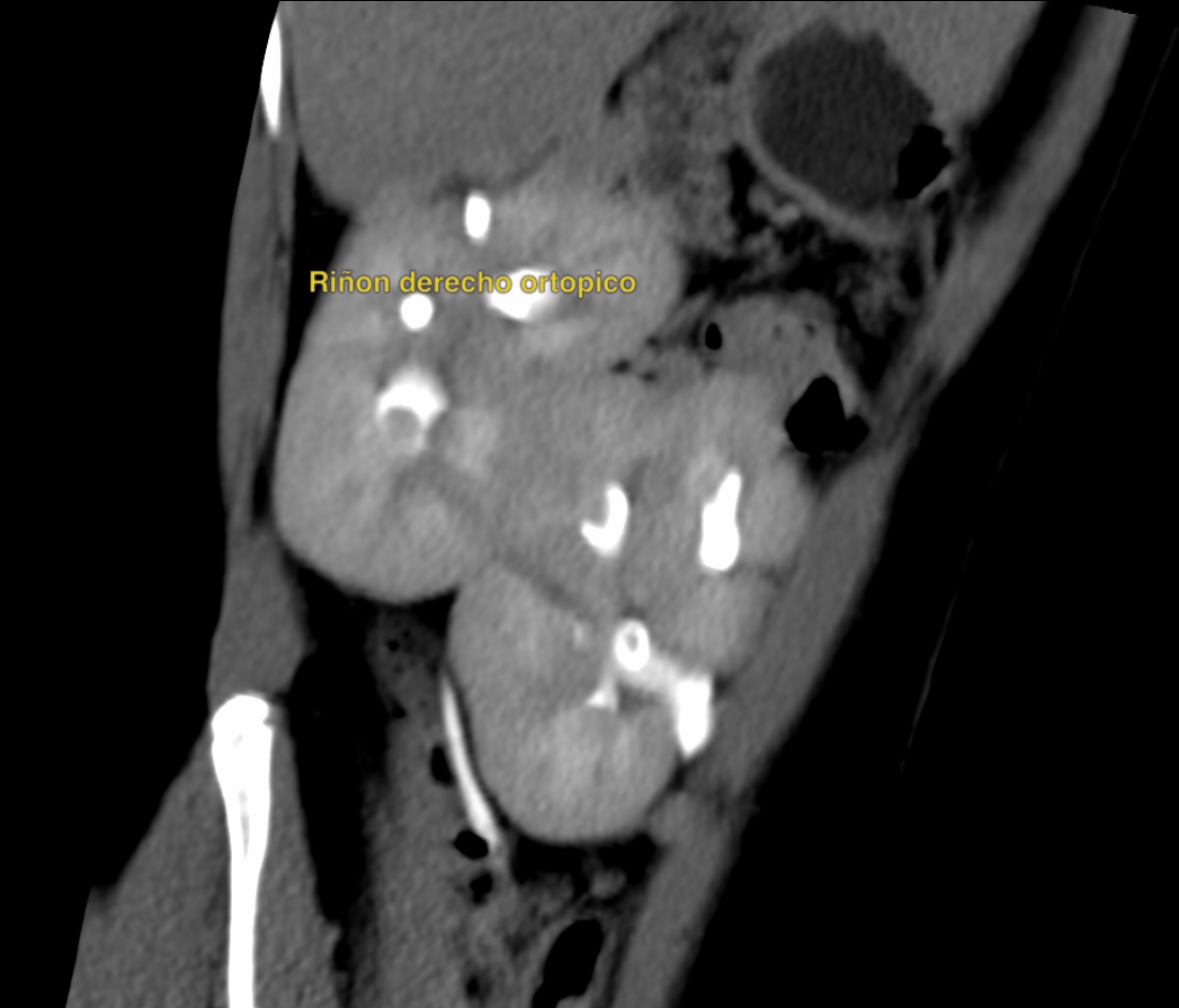
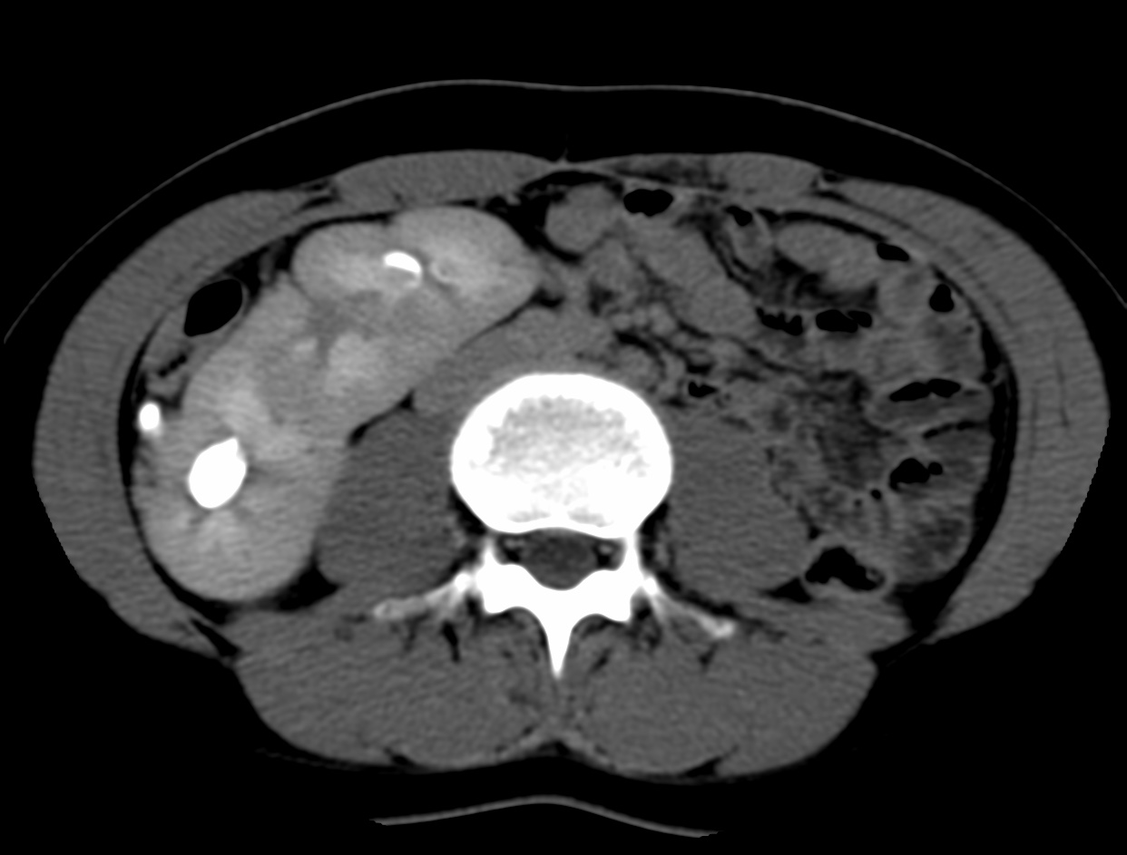
Caso #1: Ectopía Renal Cruzada Fusionada

Paciente femenina en la que se identificó ausencia de riñón izquierdo en fosa renal, con fusión renal en flanco derecho. Las reconstrucciones 3D y cortes axiales confirman una ectopía renal cruzada tipo A con malrotación de ambos riñones. Cada uréter conserva su trayecto anatómico hacia su meato correspondiente en vejiga.

Corte axial TC Reconstrucción 3D 1 Reconstrucción 3D 2 Plano sagital VR uréteres